
Buckingham Gate Orthodontics
Greater London London SW1E 6DY
4.6(1300 evaluations)
/100 DocDental Rating
General Description
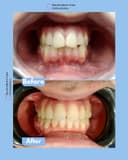
At Buckingham Gate Orthodontics, we specialize in providing top-notch orthodontic care in a warm and friendly environment. Our experienced team is dedicated to offering personalized treatment options tailored to meet your unique needs. Whether you ar...See more
Works with Insurers
No
Open Since
No information
Cabinets
No information
Languages
EnglishWarning
This clinic is not verified
If you are the owner of this clinic, you can verify itTreatments at Our Dental Clinic
| Treatment | Price |
|---|---|
| Orthodontics | N/A |
Areas of Expertise
Frequently Asked Questions
What languages are spoken at the clinic?
We speak English at our clinic.
How many reviews does the clinic have?
We have 1300 patient reviews with an average rating of 4.6.
Similar Clinics
Do you have a clinic and would like to be here?
Join DocDental, the platform that has everything you need to grow your practice and level up
Register Now



